Κάτι τρέχει στον Έβρο
"Τα έβγαλε εις πέρας" σε μια δύσκολη επέμβαση η Πανεπιστημιακή Καρδιολογική Κλινική του ΠΓΝΑ!
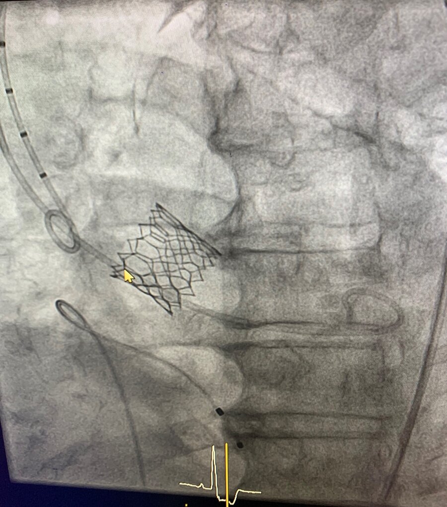
Στις 2/8/2021 στο Αιμοδυναμικό Εργαστήριο της Πανεπιστημιακής Καρδιολογικής Κλινικής του Πανεπιστημιακού Γενικού Νοσοκομείου Αλεξανδρούπολης πραγματοποιήθηκε για πρώτη φορά σε Δημόσιο Νοσοκομείο της Βόρειας Ελλάδας (με εξαίρεση το Νοσοκομείο Παπαγεωργίου στην Θεσσαλονίκη), διαδερμική αντικατάσταση σοβαρά στενωμένης συμπτωματικής αορτικής βαλβίδας από τον Διευθυντή της Πανεπιστημιακής Καρδιολογικής Κλινικής Καθηγητής Καρδιολογίας κ.Δημήτριο Ν. Τζιακά.
Πρόκειται για την περισσότερο απαιτητική επέμβαση στον Τομέα της Καρδιολογίας, η οποία και ολοκληρώθηκε με επιτυχία από τον Καθηγητή Καρδιολογίας ΔΠΘ, Καθηγητή κ. Τζιακά και την υπόλοιπη ιατρική ομάδα της Πανεπιστημιακής Καρδιολογικής Κλινικής.
Συγκεκριμένα ο Καθηγητής Καρδιολογίας κ.Τζιακάς αναφέρει:
"Θα θέλαμε με την ευκαιρία να ευχαριστήσουμε την Προϊσταμένη της Αιμοδυναμικής Μονάδος k. Ουλιανούδη και το Νοσηλευτικό προσωπικό καθώς και τους Τεχνολόγους της Αιμοδυναμικής Μονάδος, που χωρίς αυτούς δεν θα ήταν δυνατή η πραγματοποίηση της επέμβασης. Σημαντική συμβολή στην επεμβατική διαδιακασία διαδραμάτισε ο Κάρδιο-Αναισθησιολόγος κ. Νίκος Νικητίδης με το Νοσηλευτικό προσωπικό που τον συνεπικούρησε.
Και ο Καρδιολόγος κ. Σπάργιας Κωνσταντίνος πρόσφερε το εκπαιδευτικό proctoring και τις πολύτιμες συμβουλές του καθώς και ο Καρδιολόγος Μπομπότης Γεώργιος, Διευθυντής ΕΣΥ Καρδιολογίας του Γ.Ν. Παπαγεωργίου συμμετείχε στην διαδικασία καθώς και το Τεχνικό προσωπικό της EdwardLifescience και συγκεκριμένα με την κ.Μαριλένα Ζάχου."

- Περιφέρεια Ανατολικής Μακεδονίας και Θράκης: Ξεκίνησαν οι αεροψεκασμοί κατά των κουνουπιών με ελικόπτερα
(16-04-2025) - Ενίσχυση πυρόσβεσης στον Έβρο – Πρόταση Δερμεντζόπουλου για δύο Διοικήσεις
(16-04-2025) - Θράκη: Πριν το Πάσχα οι αποζημιώσεις από τον παγετό του 2021
(16-04-2025) - Τι πρέπει να γνωρίζουν οι καταναλωτές για το κρέας και τα αυγά – Οι οδηγίες της Κτηνιατρικής Υπηρεσίας ΑΜΘ
(16-04-2025) - ΔΠΘ και ΕΤΒΑ ΒΙ.ΠΕ. ενώνουν δυνάμεις: Σπουδές με προοπτική και σύνδεση με την αγορά εργασίας
(16-04-2025)
EN
TR






